John V. Unger D.D.S.
Mon, Wed 9:00am - 5:00pm
Tues, Thurs 7am - 3pm
Fri, Sat, Sun Closed
Menu
Call
Book Now
Map
Home
About
Our Team
Technology
Office Pictures
Services
View All
Preventive Dentistry
General Dentistry
Children's Dentistry
Emergency Dentistry
Invisalign
Tooth-Colored Fillings
Tooth Extractions
Crowns and Bridges
Dental Implants
Dentures and Partials
Smile Gallery
Patient Information
View Patient Information
Financial
FAQs
Contact
John V. Unger D.D.S.
Mon, Wed 9:00am - 5:00pm
Tues, Thurs 7am - 3pm
Fri, Sat, Sun Closed
Request an Appointment
Like us on Facebook
Follow us on Twitter
Leave a Google Review
Instagram
(513) 922-1455
1270 Ebenezer Rd
Cincinnati, OH 45233
John V. Unger D.D.S.
>
Smile Gallery
>
Case 3
Case 3
Return to Smile Gallery
Previous
Next
Click image to see a larger picture
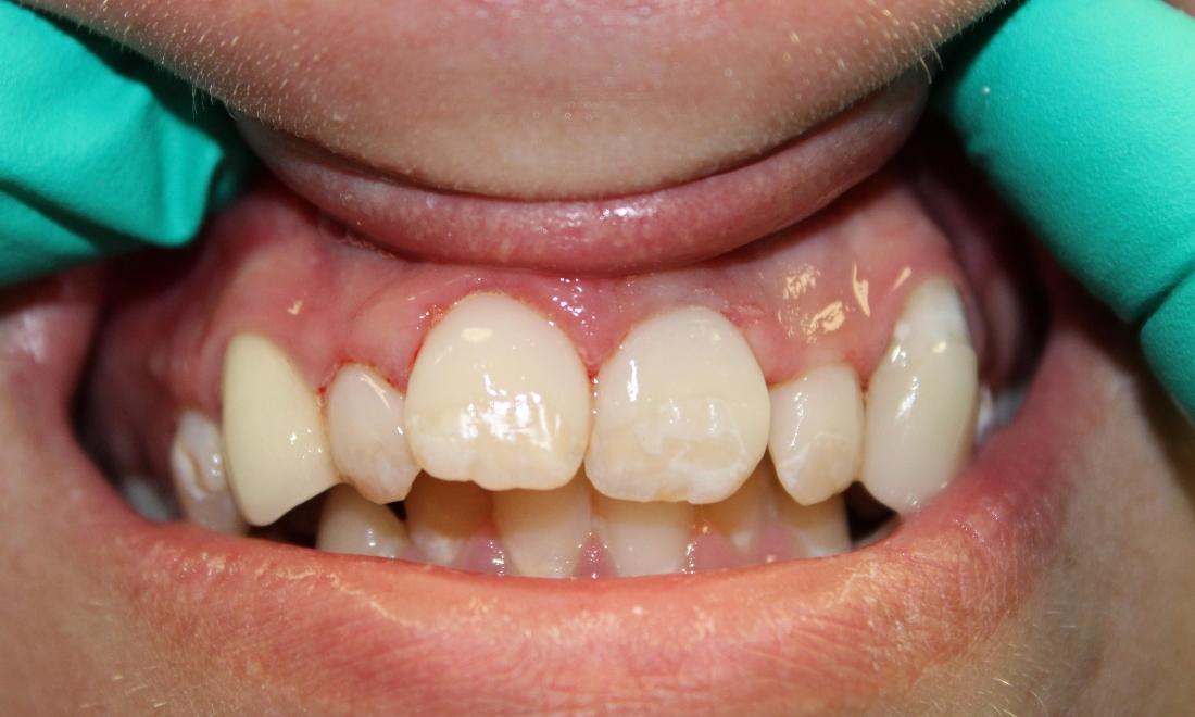
Before
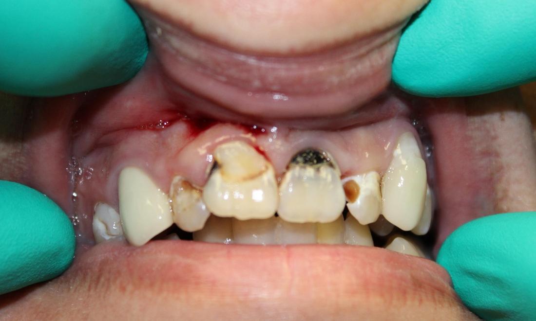
After
Have Questions? Get in Touch
Contact Us
If you have difficulty using our website, please
email us
or call us at
(513) 922-1455
View the
ADA Accessibility Statement
Turn on ADA Views
Privacy Policy
OK!
×
×
Contact Us Today
Give Us A Call
John V. Unger DDS -
(513) 922-1455
Send Us an Email
Book Online
Contact Us
Ready to Schedule an Appointment?
Book Online
Have Questions? Contact Us:
Required Field
Your Name:
Phone:
Email:
Are you a new patient?:
Are you a?
New Patient
Current Patient
How would you like us to contact you?
Please choose
Email
Call
How did you hear about us?
Please choose
I'm an existing patient
Google/Bing
Mailer
Word of mouth
Social media
Other
Who Referred You?:
Appointment Preferences
Monday
Tuesday
Wednesday
Thursday
Your Message:
This site is protected by reCAPTCHA and the Google
Privacy Policy
and
Terms of Service
apply.
Sending...
×
This Patient's Experience
Loading Testimonial...
Loading Case...